Hell 🆚 Heaven | Cardiovascular system 🫀
5/2/20253 min read
Artery heaven🌤️😇🌈: elastic, flexible, and smooth
Artery hell👹😈💀: inflammation, stiffened, clogging with fatty deposits, high blood pressure
Protective field🛡️ : Nitric oxide, exercise, relaxation
Damage💥: cholesterol apoB, Lp(a), homocysteine, chronic stress, sleep deprivation, smoking, trans & saturated fats, excess sodium(>3,000 mg/day) & sugars (>30 grams/day), antiseptic mouthwash & fluoride toothpaste
“Sitting is the new smoking.🪑” Findings from a 2011 study of nearly 800,000 people showed that those who reported sitting the most had a 2x increase in diabetes risk, 2x increase in cardiovascular disease risk, and a 50% increased risk of early death compared to those who spent the least time sitting.
2 reasons Why I taking this seriously:
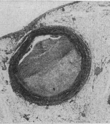
The only doctors who truly understand cardiovascular disease are pathologists. because by the time a pathologist sees your arterial tissue, you are dead.💀
The shocking insights from people die from war show 77% of their hearts had “gross evidence”—meaning visible-to-the-eye evidence—of coronary atherosclerosis, hardening of their arteries. Some of them had vessels that were clogged off 90% or more. their average age? 22 years old


cross section through anterior descending artery of a 22-year-old white man killed by penetrating shell fragment wound of the head.










Study show VO2max “when compared with the lowest performers, elite performance was associated with an 80% reduction in mortality risk”.
Maximal oxygen uptake (VO2max) most accurately measure where they put you on a mask while doing strenuous exercise,
it measure 2 things,
how much air breathe in and how much oxygen concentration coming out,
thus knowing how much your body consume oxygen.
Knowing your VO2max is good proxy for 3 things:
Heart and artery function🫀
Lung function🫁
Muscle and mitochondria function 💪
VO2max is not something you can cheat on with supplements,
short-term training or genetics, it is earned through long-term training.
If you don't have access to fancy equipment to test VO2max in labs like me,
there're also different type of VO2max test no equipment needed.
I'm using 12-Min run as my test, it's basically just measure how much you run with your best effort in 12 minutes,
it can be easily measure with app such as Strava
After knowing your result, you can see which categories you at with the chart below,
my first VO2max is 2.33km equivalent to 1.45mil which put me at Poor category,
yea even looking muscular does not mean your VO2max is good.
I view this as super long term thing, I'm not rushing to join any marathon soon, my best effort now is 1.62mil
Proactive🔦: apoB test, calcium score test, Lp(a) test
Old beliefs:
leafy green is gross
all food are the same
heart disease's is old people disease
breathing through nose and mouth is the same
New beliefs:
leafy green is the most sexiest food in the world
there're artery damaging and protective food
heart disease bomb is already ticking after you are born
breathing through nose not mouth produce more nitric oxide(141 nl/min/m² nasal breathing vs 68 nl/min/m² mouth breathing), studies show that humming can raise nasal nitric oxide levels by 15- to 20-fold compared to quiet exhalation.
Invest in your artery📈: scrape your tongue 👅, nitric oxide precursors food sources: Leafy Greens (Nitrates) (Thylakoids naturally boost GLP-1) Arugula is top, Beets, Nuts and Seeds (L-Arginine), Watermelon (L-Citrulline), Blueberry, Cocoa, tea (Phytonutrients), Creatine (Lower homocysteine)



